Table of Contents
Washington University Experience | PERIPHERAL NEUROPATHY | 9B PERINEURITIS & PERINEURIAL PATHOLOGY | 5D3 Perineuritis (Case 5) Plastic 2
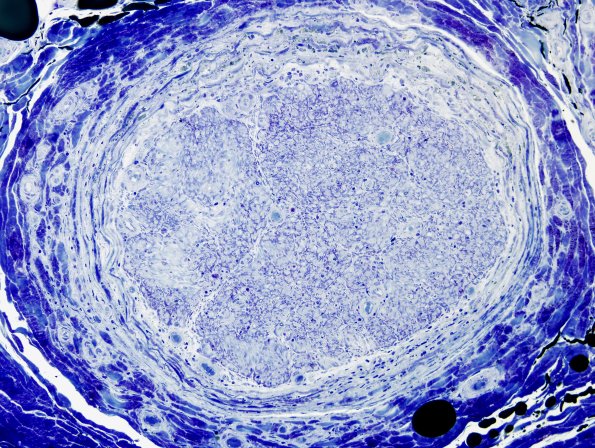
One micron thick plastic embedded nerve confirms the nearly complete loss of large and small myelinated axons. Endoneurial inflammatory cells are noted. The perineurium shows an increase in number of lamellae with interlaminary macrophages with lipidic debris and relatively little inflammatory infiltrate
