Table of Contents
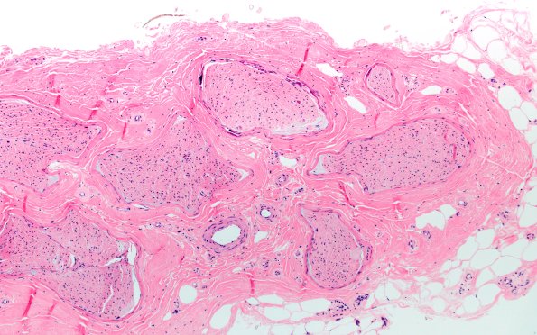
Washington University Experience | PERIPHERAL NEUROPATHY | 9B PERINEURITIS & PERINEURIAL PATHOLOGY | 6A1 (Case 6) H&E 10X
Case 6 History ---- The patient is a 68-year-old woman with a history of neuropathy, diabetes, venous stasis, Open Reduction and Internal Fixation (ORIF) of right distal tibia and fibula, and necrobiosis diabeticorum of the left lower extremity. Operative procedure: Biopsy of right gastrocnemius and right sural nerve. ---- 6A1-4 There are frequent prominent perineurial calcifications but no evidence of vasculitis or inflammation.
