Table of Contents
« prev
next »
Washington University Experience
|
PERIPHERAL NEUROPATHY
|
9B PERINEURITIS & PERINEURIAL PATHOLOGY
|
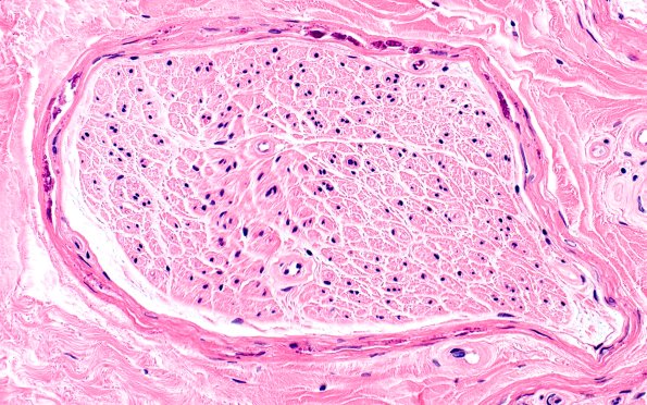
6A2 (Case 6) H&E 40X 1
There are frequent prominent perineurial calcifications but no evidence of vasculitis or inflammation.
Image Info
Camera Maker:
Olympus
Camera Model:
DP74
Shutter Speed:
27/6250 sec
Metering Mode:
Multi-Spot
Gallery RSS
|
Archive View
|
Login
|
Powered by
Zenphoto