Table of Contents
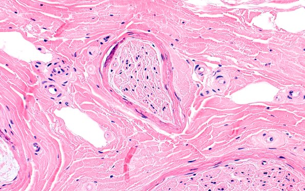
Washington University Experience | PERIPHERAL NEUROPATHY | 9B PERINEURITIS & PERINEURIAL PATHOLOGY | 6A4 (Case 6) H&E 40X 2
There are frequent prominent perineurial calcifications but no evidence of vasculitis or inflammation. ---- Not shown: One micron-thick, toluidine blue stained sections of the plastic embedded biopsy show fascicles with severe loss of large and small myelinated axons. There are rare structures suggestive of onion bulbs or pseudo-onion bulbs.
