Table of Contents
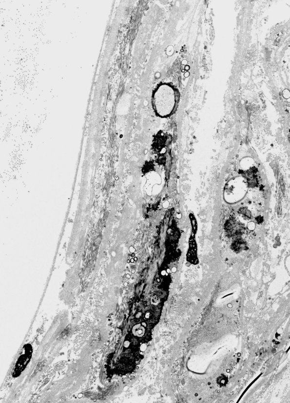
Washington University Experience | PERIPHERAL NEUROPATHY | 9B PERINEURITIS & PERINEURIAL PATHOLOGY | 6B1 (Case 6) Nerve_011 - Copy
6B1-3 The perineurium exhibits numerous foci of calcifications, which are not accompanied by macrophages or inflammatory cells. (electron micrographs)
