Table of Contents
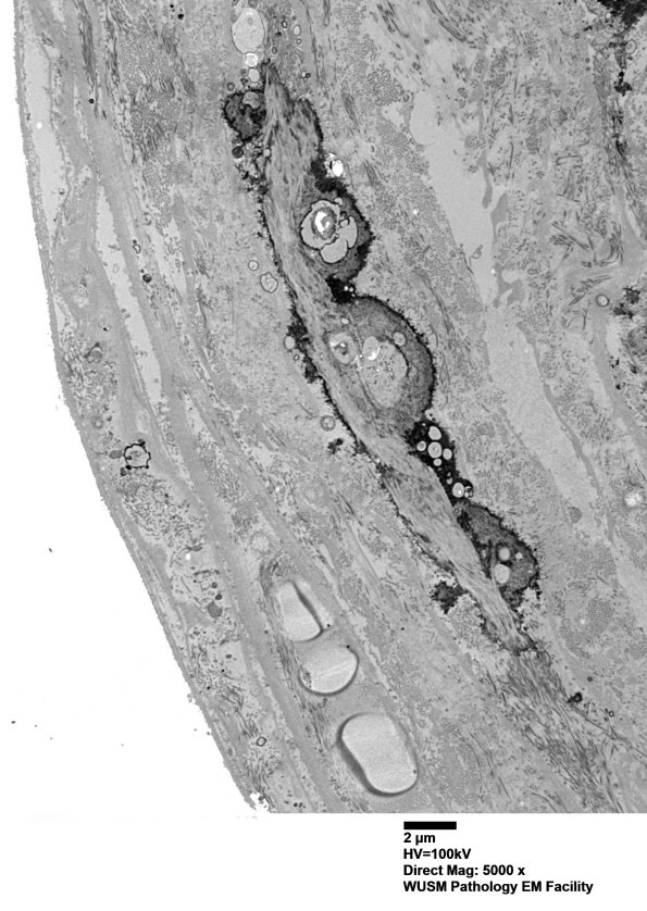
Washington University Experience | PERIPHERAL NEUROPATHY | 9B PERINEURITIS & PERINEURIAL PATHOLOGY | 6B4 (Case 6) Nerve 010 - Copy
6B4-6 Additional images of perineurial calcification. Perineurial calcifications can be seen in normal individuals as a function of age and as a nonspecific feature of peripheral neuropathies. (electron micrographs)
