Table of Contents
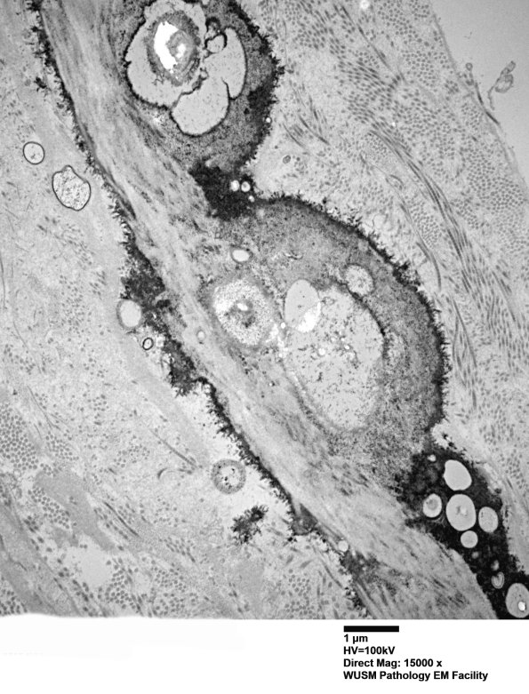
Washington University Experience | PERIPHERAL NEUROPATHY | 9B PERINEURITIS & PERINEURIAL PATHOLOGY | 6B5 (Case 6) Nerve 037 - Copy
Additional images of perineurial calcification. Perineurial calcifications can be seen in normal individuals as a function of age and as a nonspecific feature of peripheral neuropathies. (electron micrographs)
