Table of Contents
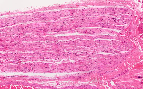
Washington University Experience | PERIPHERAL NEUROPATHY | 9B PERINEURITIS & PERINEURIAL PATHOLOGY | 7A1 Hemorrhage, endoneurial (Case 7) Nerve 10X
Case 7 History ---- The patient is a 44-year-old man with a history of seizures, reported obsessive compulsive disorder and depression, who presented to an outside institution (OSH) with bilateral lower extremity numbness & weakness that began suddenly. He was treated with IV fluid for rhabdomyolysis, doxycycline for possible infection, and morphine for pain and was transferred to BJH. ANCA/dsDNA/RF were negative; complement (C3/C4) was within normal limits; ESR 23; CRP 13; HIV/RPR/HBV/HCV negative; serum immunofixation, copper, zinc, B12 and MMA all within normal limits. CT studies showed no evidence of malignancy. EMG findings were concerning for lumbosacral radiculoplexus neuropathy versus mononeuritis multiplex, with overlying myopathic features. Skin biopsy showed excoriation with dermal necrosis and vascular thrombosis. Operative procedure: Right gastrocnemius muscle biopsy and right sural nerve biopsy. ---- 7A1-3 H&E stained sections show axonal degeneration, sub-perineurial edema, a few Renaut bodies, minimal inflammation and no angionecrosis. (H&E)
