Table of Contents
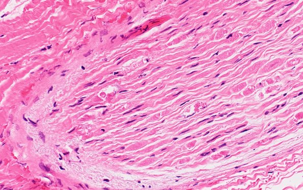
Washington University Experience | PERIPHERAL NEUROPATHY | 9B PERINEURITIS & PERINEURIAL PATHOLOGY | 7A3 Hemorrhage, endoneurial (Case 7) Nerve 40X
H&E stained sections show axonal degeneration, sub-perineurial edema, a few Renaut bodies, minimal inflammation and no angionecrosis. (H&E)
