Table of Contents
Washington University Experience | PERIPHERAL NEUROPATHY | 9B PERINEURITIS & PERINEURIAL PATHOLOGY | 7B1 Hemorrhage, endoneurial (Case 7) Nerve Plastic 1.jpg
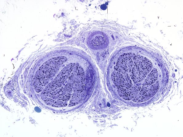
7B1 One micron-thick, toluidine blue stained sections of the plastic embedded right sural nerve show fascicles with mild loss of large and small myelinated axons, without significant intra- or inter-fascicular variability. Regenerative clusters and thinly myelinated axons are also seen. Some scattered axons show myelin debris within associated Schwann cells, consistent with active degeneration. (Plastic section)
