Table of Contents
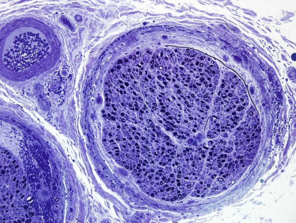
Washington University Experience | PERIPHERAL NEUROPATHY | 9B PERINEURITIS & PERINEURIAL PATHOLOGY | 7B2 Hemorrhage, endoneurial (Case 7) Plastic 4.jpg
This fascicle shows mild axon loss and intra-perineurial hemorrhage which is quite widespread. (Plastic section)
