Table of Contents
Washington University Experience | PERIPHERAL NEUROPATHY | 9B PERINEURITIS & PERINEURIAL PATHOLOGY | 7B3 Hemorrhage, endoneurial (Case 7) Plastic 2.jpg
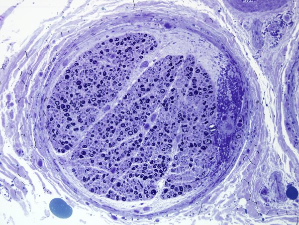
In this fascicle much of the hemorrhage is both perineurial and subperineurial accompanied by subperineurial edema. (Plastic section)
