Table of Contents
Washington University Experience | PERIPHERAL NEUROPATHY | 9B PERINEURITIS & PERINEURIAL PATHOLOGY | 7B5 Hemorrhage, endoneurial (Case 7) Plastic 6.jpg
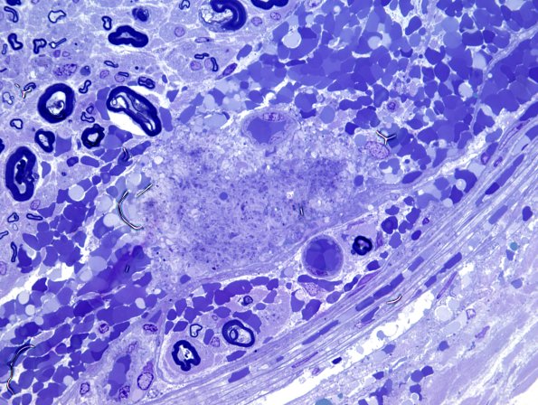
These are closeups of the hemorrhage. It appears that some of the vessels are damaged (arrow, 7B4) or thrombosed (7B5). There is a large aggregate of reactive histiocytes (7B5) resembling a granuloma. A few other smaller perineurial arterioles show mild luminal narrowing and a few associated lymphocytes. (Plastic section)
