Table of Contents
Washington University Experience | PERIPHERAL NEUROPATHY | 9B PERINEURITIS & PERINEURIAL PATHOLOGY | 7C1 Axonal Degeneration (Case 7) EM 043 - Copy
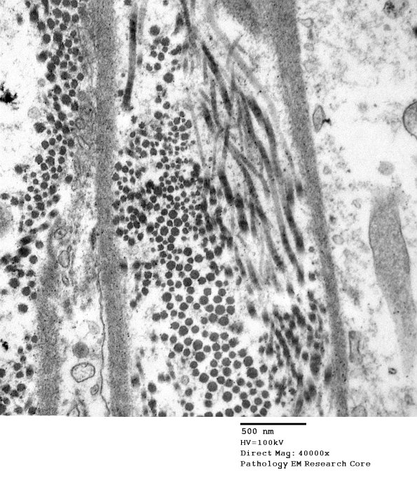
The perineurium is abnormal in a number of ways. In this image the layers of the perineurium are expanded by increased collagen. (electron micrograph)
