Table of Contents
Washington University Experience | PERIPHERAL NEUROPATHY | 9B PERINEURITIS & PERINEURIAL PATHOLOGY | 7C2A Axonal Degeneration (Case 7) EM 036 - Copy
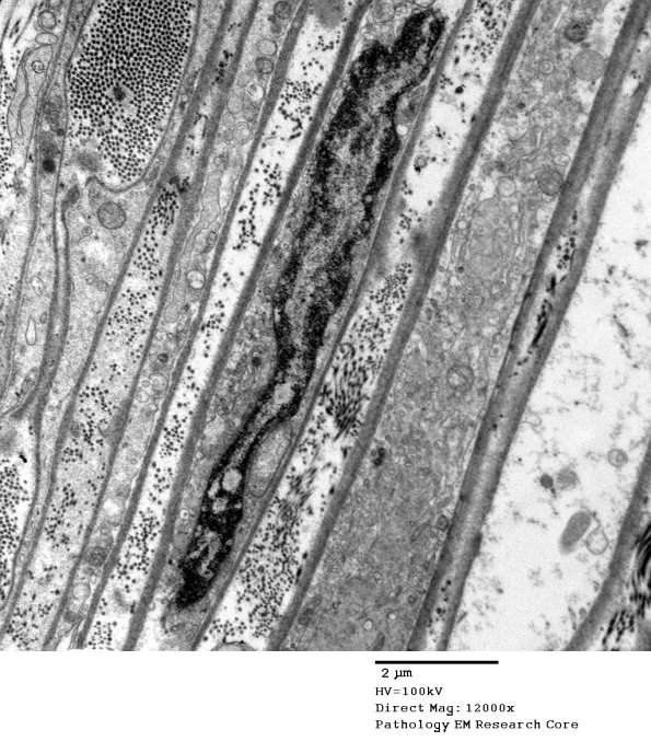
7C2A-D Other areas showed accumulation of intracellular organelles which suggest macrophage processes; however, the lack of autophagic vacuoles suggest they may belong to hyperplastic perineurial processes. (electron micrographs)
