Table of Contents



Washington University Experience | PERIPHERAL NEUROPATHY | 9B PERINEURITIS & PERINEURIAL PATHOLOGY | 7C3A Axonal Degeneration (Case 7) _039 - Copy

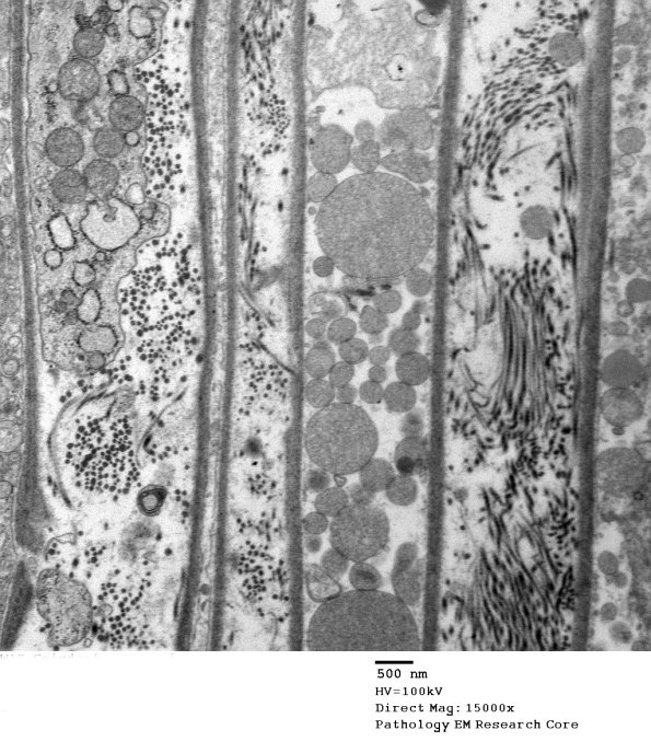
7C3A Axonal Degeneration (Case 7) _039 - Copy
7C3A,B Are these processes of perineurial cells? - (electron micrographs)


Gallery RSS RSS Feed | Archive View | Login | Powered by Zenphoto