Table of Contents
Washington University Experience | PERIPHERAL NEUROPATHY | 9B PERINEURITIS & PERINEURIAL PATHOLOGY | 7C5A Axonal Degeneration (Case 7) _038 - Copy
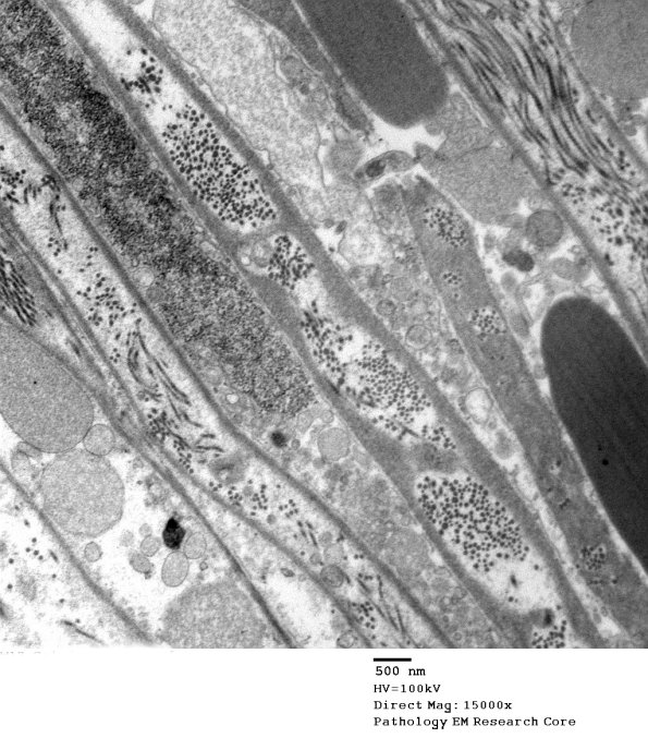
7C5A,B Red cells spread in between perineurial lamellae. Also noted are putative macrophage cell processes in the perineurium. (electron micrographs)
