Table of Contents
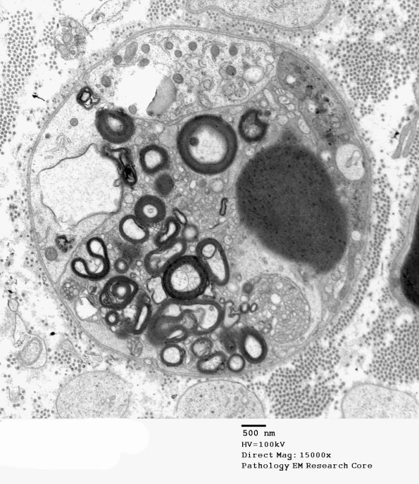
Washington University Experience | PERIPHERAL NEUROPATHY | 9B PERINEURITIS & PERINEURIAL PATHOLOGY | 7C6A Axonal Degeneration (Case 7) EM 029 - Copy
7C6A,B The endoneurium was rich in actively degenerating axons. (electron micrographs)
