Table of Contents
Washington University Experience | PERIPHERAL NEUROPATHY | 9B PERINEURITIS & PERINEURIAL PATHOLOGY | 7C6B (Case 7) Nerve Bx_031 - Copy
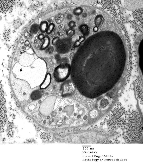
The endoneurium was rich in actively degenerating axons. (electron micrographs) ---- Comment: The findings of subperineurial edema, focal subperineurial hemorrhage, and microvascular endothelial changes suggest that an immune disorder affecting blood vessels – without classic vasculitis (fibrinoid necrosis) – may have played a role.
