Table of Contents
Washington University Experience | PERIPHERAL NEUROPATHY | 9B PERINEURITIS & PERINEURIAL PATHOLOGY | 8A1 (Case 8) 002 - Copy
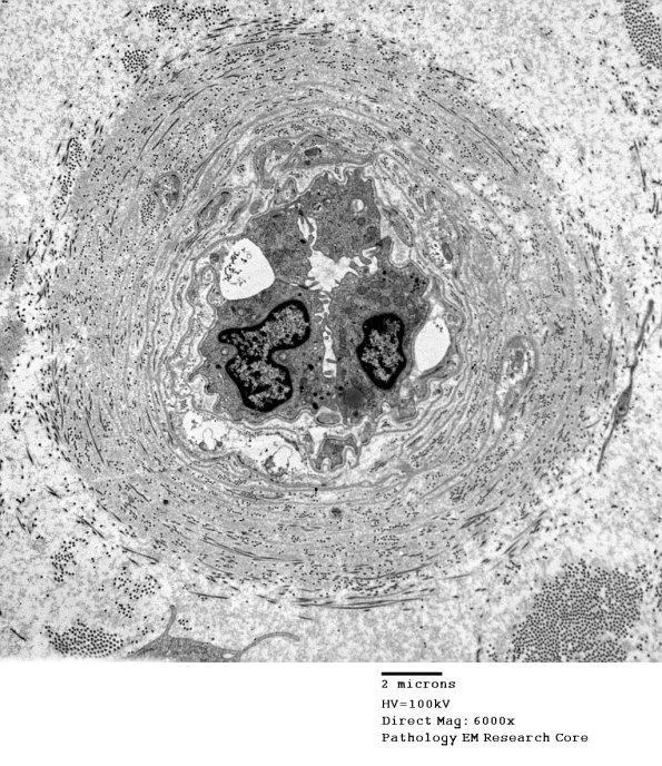
Case 8 History ---- The patient is a 79 year old woman with unspecified hereditary and idiopathic peripheral neuropathy, amyloid and vasculitis. Operative procedure: Right sural nerve biopsy. ---- 8A1,2 The endoneurial vasculature is markedly thickened by alternating circumferential basement membranes and collagen, a pattern most commonly associated with diabetic neuropathy. (electron micrographs)
