Table of Contents
Washington University Experience | PERIPHERAL NEUROPATHY | 9B PERINEURITIS & PERINEURIAL PATHOLOGY | 8A2 (Case 8) 004 - Copy
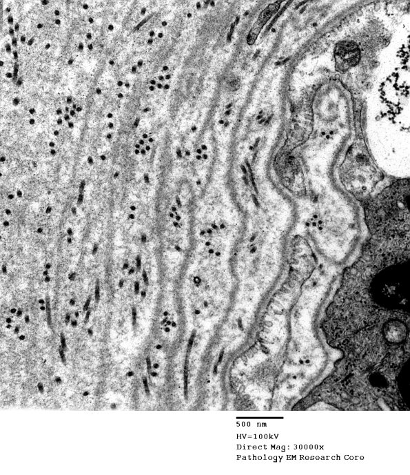
The endoneurial vasculature is markedly thickened by alternating circumferential basement membranes and collagen, a pattern most commonly associated with diabetic neuropathy. (electron micrographs)
