Table of Contents
Washington University Experience | PERIPHERAL NEUROPATHY | 9B PERINEURITIS & PERINEURIAL PATHOLOGY | 9A1 Perineuritis, idiopathic (Case 9) Plastic 1
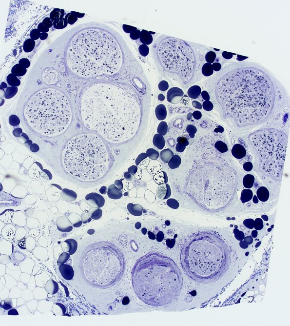
This low magnification image shows the patchy perineuritis in this nerve and the variability in the axonal density from fascicle-to-fascicle. (Plastic sections)
