Table of Contents
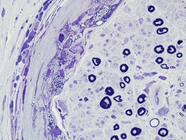
Washington University Experience | PERIPHERAL NEUROPATHY | 9B PERINEURITIS & PERINEURIAL PATHOLOGY | 9A2B Perineuritis (Case 9) Plastic 1.jpg
Multiple images from this fascicle with focal proliferation of perineurial leaflets separated by vacuolated lipid-containing macrophages with scattered inflammatory cells. (Plastic sections)
