Table of Contents



Washington University Experience | PERIPHERAL NEUROPATHY | 9B PERINEURITIS & PERINEURIAL PATHOLOGY | 9A3B Perineuritis, idiopathic (Case 9) Plastic 8

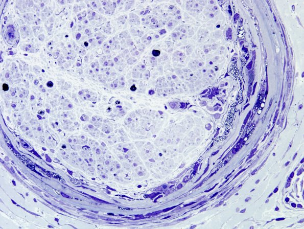
9A3B Perineuritis, idiopathic (Case 9) Plastic 8
An additional perineuritic fascicle is shown. (Plastic sections)


Gallery RSS RSS Feed | Archive View | Login | Powered by Zenphoto