Table of Contents



Washington University Experience | PERIPHERAL NEUROPATHY | 9B PERINEURITIS & PERINEURIAL PATHOLOGY | 9A4C Perineuritis, idiopathic (Case 9) Plastic 13

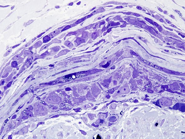
9A4C Perineuritis, idiopathic (Case 9) Plastic 13
An additional perineuritic fascicle is shown. (Plastic sections)


Gallery RSS RSS Feed | Archive View | Login | Powered by Zenphoto