Table of Contents
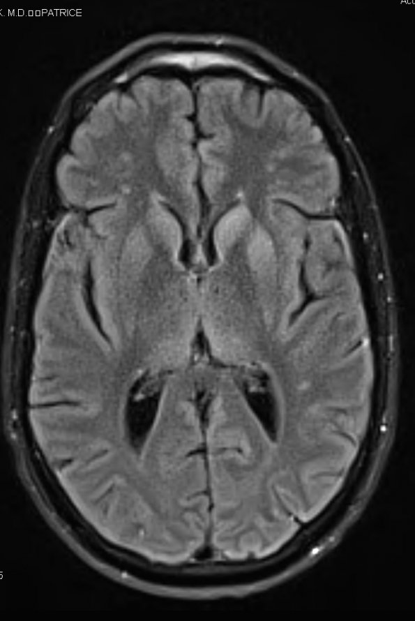
Washington University Experience | PRION DISEASES | Prion Diseases | 17A1 CJD (Case 17) FLAIR - Copy
At autopsy the unfixed brain weight was 1140g. The cerebral hemispheres, cerebellum and brainstem were grossly unremarkable. ---- 17A1 This FLAIR MRI exam shows hyperintensities in the caudate, putamen and pulvinar nuclei
