Table of Contents
Washington University Experience | PRION DISEASES | Prion Diseases | 18A1 CJD (Case 18) TIRM BLADE - Copy
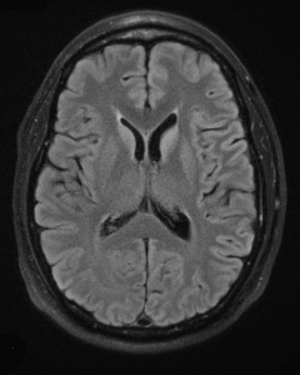
At autopsy the brain is well formed and weighs 1520g. There are no abnormalities present on the cerebral hemispheres. The cerebellum is full and unremarkable. The brainstem has a normal configuration and the cranial nerves are in an appropriate location. There are no abnormalities of the structures at the base of the brain including the vasculature. ---- 18A1 A TIRM Blade study shows hyperintensity of the caudate and, to a lesser extent, putamen and pulvinar.
