Table of Contents
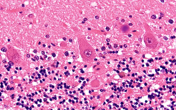
Washington University Experience | PRION DISEASES | Prion Diseases | 19B2 (Case 19) H&E 60X 3
19B2-7 Multiple spheroidal amyloid deposits, formed by radially arranged fibrils (‘kuru-like’ plaques), are noted in the Purkinje and granule cell layers. (H&E)
