Table of Contents
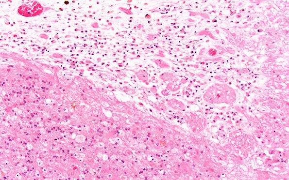
Washington University Experience | TRAUMA & FORENSIC | Contusions | 19A4 (Case 19) Contusion 20X
Higher magnification shows loss of neurons, astrocytosis, glial fingers and macrophages with hemosiderin (mostly in the adjacent cystic area) and lipid laden macrophages within the residual gliotic cortex. (H&E)
