Table of Contents



Washington University Experience | VASCULAR | AVM | 20B3 AVM (Case 20) H&E 2

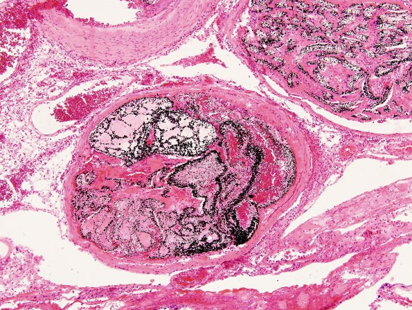
20B3 AVM (Case 20) H&E 2
Higher magnification image of individual vessels containing Onyx embolic material (H&E)


Gallery RSS RSS Feed | Archive View | Login | Powered by Zenphoto