Table of Contents
« prev
next »
Washington University Experience
|
VASCULAR
|
AVM
|
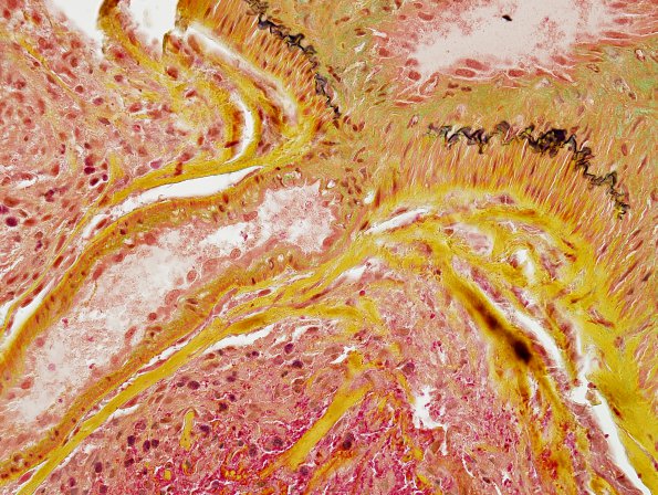
21C2 AVM (Case 21) Hybrid vessel Pentachrome 1
Same vessels stained with pentachrome.
Image Info
Camera Maker:
Olympus Corporation
Camera Model:
DP70
Original Time Taken:
30-01-2014
Shutter Speed:
1/195 sec
ISO Sensitivity:
200
Metering Mode:
Spot
Gallery RSS
|
Archive View
|
Login
|
Powered by
Zenphoto