Table of Contents
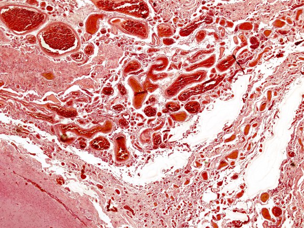
Washington University Experience | VASCULAR | AVM | 22B2 AVM, (actually PseudoAVM (S80-2848) H&E 4
22B2,3 In the areas of cortical atrophy there are numerous vessels which vary only a bit in size. There are no obviously abnormal appearing individual elements with a uniform wall thickness, only increased numbers of vessels. (H&E)
