Table of Contents
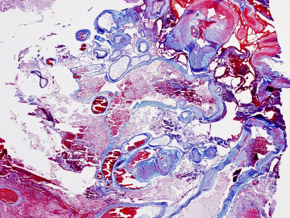
Washington University Experience | VASCULAR | AVM | 28A1 AVM (Case 28) Trichrome 1
28A1,2 A trichrome stain identifies numerous vessels of different calibers and wall thicknesses. A central arterial vessel (arrowheads) gives rise to thin walled branches (arrows, A2).
