Table of Contents
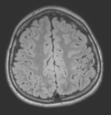
Washington University Experience | VASCULAR | AVM | 34A1 AVM, hybrid vessels Case 34) FLAIR W - Copy
Case 34 History ---- The patient is an 8yo male with focal epilepsy in the setting of L postcentral gyrus AVM, s/p gamma knife in 2018 and most recently s/p AVM resection with clipping of feeding vessels with postoperative hemiparesis. He has not had seizures while hospitalized and remained on OXC and clobazam. CT-Angiogram post-operatively demonstrated a mixed-density subdural fluid collection, air in the resection cavity, and no filling of the prior AVM after clipping. ---- 34A1-5 MRI Studies ---- 34A1 This FLAIR MRI Scan shows a variegated hypo-/iso-intense malformation
