Table of Contents
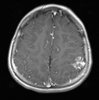
Washington University Experience | VASCULAR | AVM | 34A3 AVM, hybrid vessels (Case 34) T1W - Copy
34A3,4 These T1-weighted images with administered contrast show the hyperintense vascular channels and involved parenchyma in both axial (34A3) and coronal (34A4) views.
