Table of Contents



Washington University Experience | VASCULAR | AVM | 34A5 AVM, hybrid vessels (Case 34) T2W - Copy

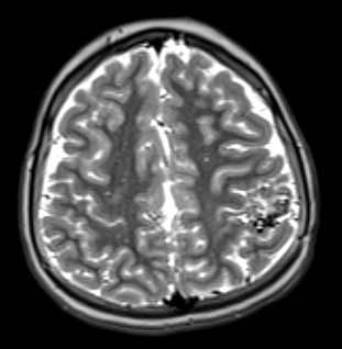
34A5 AVM, hybrid vessels (Case 34) T2W - Copy
The T2-weighted contrast applied scan shows a variegated hyper- and hypointense pattern.


Gallery RSS RSS Feed | Archive View | Login | Powered by Zenphoto