Table of Contents
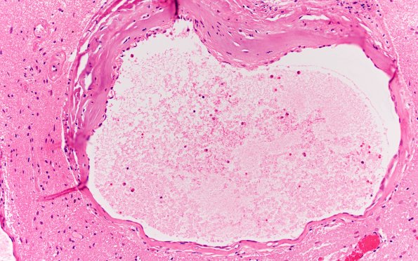
Washington University Experience | VASCULAR | AVM | 34B4 AVM, hybrid vessels (Case 34) H&E 20x 2
This vessel show marked variation in wall thickness and content. In a practical sense it would be very unlikely to produce such vessels by tangential cuts of a normal vessel wall. (H&E)
