Table of Contents
« prev
next »
Washington University Experience
|
VASCULAR
|
AVM
|
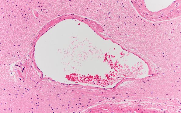
34B6 AVM, hybrid vessels (Case 34) H&E 20x
A particularly nice example of a hybrid vessel. (H&E)
Image Info
Camera Maker:
Olympus
Camera Model:
DP74
Shutter Speed:
3/3125 sec
Metering Mode:
Multi-Spot
Gallery RSS
|
Archive View
|
Login
|
Powered by
Zenphoto