Table of Contents
« prev
next »
Washington University Experience
|
VASCULAR
|
AVM
|
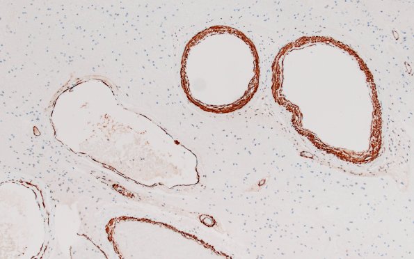
34D3 AVM, hybrid vessels (Case 34) SMA 10X
34D3,4 Hybrid vessels varying in SMA content. (SMA IHC)
Image Info
Camera Maker:
Olympus
Camera Model:
DP74
Shutter Speed:
23/50000 sec
Metering Mode:
Multi-Spot
Gallery RSS
|
Archive View
|
Login
|
Powered by
Zenphoto