Table of Contents
« prev
next »
Washington University Experience
|
VASCULAR
|
AVM
|
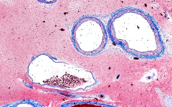
34E2 AVM, hybrid vessels (Case 34) TRI 10x 1
The same vessel shown in images #34B5 and #34D3 varies significantly in collagen content within the wall. (Trichrome)
Image Info
Camera Maker:
Olympus
Camera Model:
DP74
Shutter Speed:
7/12500 sec
Metering Mode:
Multi-Spot
Gallery RSS
|
Archive View
|
Login
|
Powered by
Zenphoto