Table of Contents
« prev
next »
Washington University Experience
|
VASCULAR
|
AVM
|
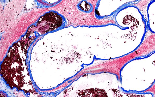
34E3 AVM, hybrid vessels (Case 34) TRI 10x 2
Unusual vessel with change in size and wall thickness. (Trichrome)
Image Info
Camera Maker:
Olympus
Camera Model:
DP74
Shutter Speed:
14/27451 sec
Metering Mode:
Multi-Spot
Gallery RSS
|
Archive View
|
Login
|
Powered by
Zenphoto