Table of Contents



Washington University Experience | VASCULAR | Amyloid-Beta Related Angiitis (ABRA) | 8B3 Angiitis, granulomatous vs ABRA (Case 8) H&E 1

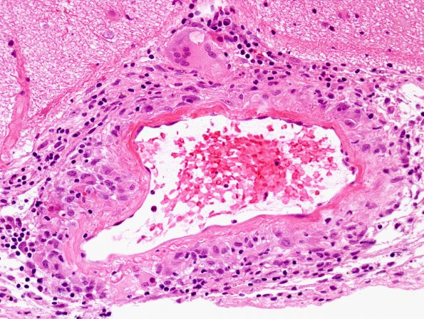
8B3 Angiitis, granulomatous vs ABRA (Case 8) H&E 1
8B3,4 Multinucleated giant cells are encountered within the vascular walls (H&E)


Gallery RSS RSS Feed | Archive View | Login | Powered by Zenphoto