Table of Contents
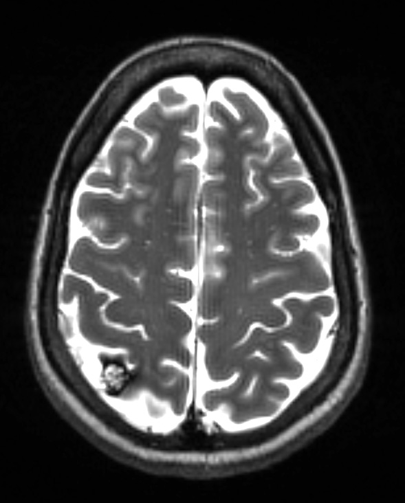
Washington University Experience | VASCULAR | Cavernous Angioma | 10A1 Cavernoma (Case 10) T2 with contrast - Copy
10A1,2 MRI study showed a discrete lesion with a ferruginous penumbra as seen by T2-weighted sequence with (10A1) or without (10A2) contrast.
