Table of Contents
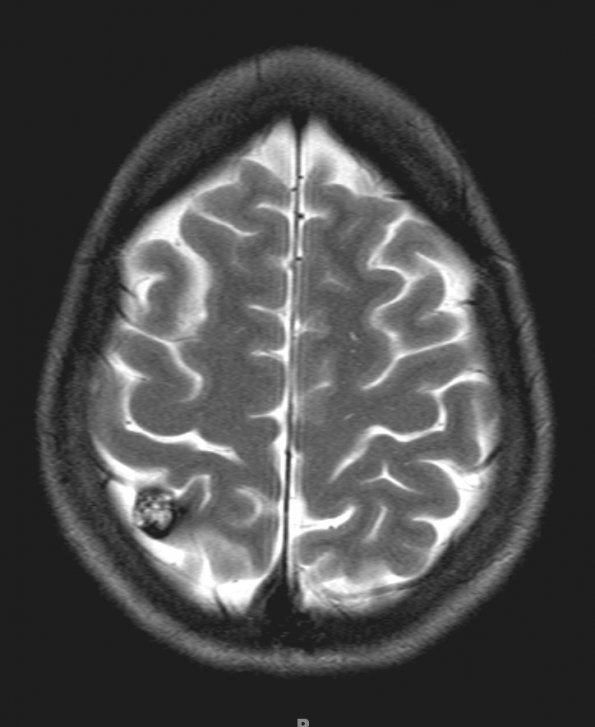
Washington University Experience | VASCULAR | Cavernous Angioma | 10A2 Cavernoma (Case 10) T2 without contrast - Copy
MRI study showed a discrete lesion with a ferruginous penumbra as seen by T2-weighted sequence without contrast.
