Table of Contents
« prev
next »
Washington University Experience
|
VASCULAR
|
Cavernous Angioma
|
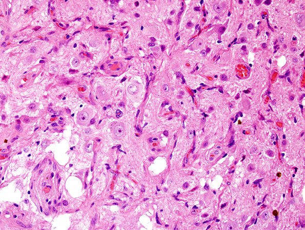
10C4 Cavernous angioma (Case 10) H&E 14
Large neurons are intercalated between mesenchymal elements (H&E)
Image Info
Camera Maker:
Olympus Corporation
Camera Model:
DP70
Original Time Taken:
07-06-2016
Shutter Speed:
1/188 sec
ISO Sensitivity:
200
Metering Mode:
Spot
Gallery RSS
|
Archive View
|
Login
|
Powered by
Zenphoto