Table of Contents
Washington University Experience | VASCULAR | Cavernous Angioma | 10D1 Cavernoma (Case 10) EM 006 - Copy
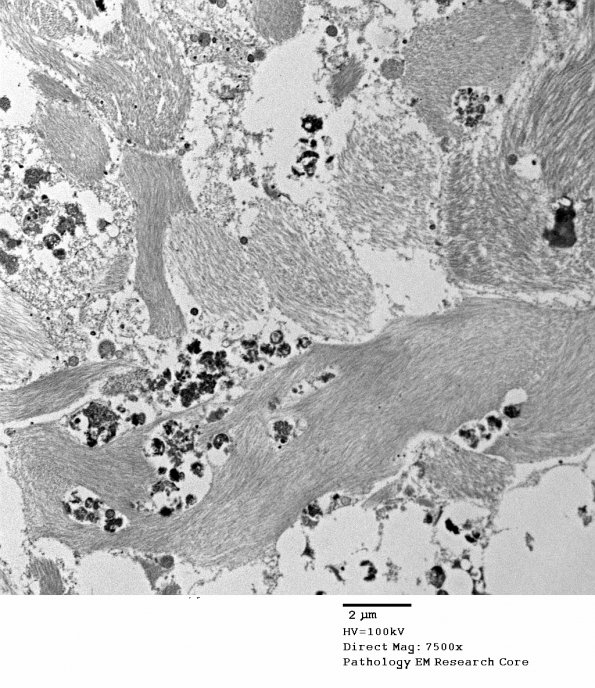
Ultrastructural examination was performed to better characterize the process. Note the large number of astrocytic processes with glial filaments, some of which have been labeled by hemosiderin, possibly externally (electron micrograph)
