Table of Contents
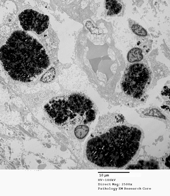
Washington University Experience | VASCULAR | Cavernous Angioma | 10D2 Cavernoma, hemosiderin (Case 10) EM 079 - Copy
10D2,3 Hemosiderin laden macrophages are seen in the perivascular spaces and as individual cells with osmiophilic inclusions.(electron micrograph)
