Table of Contents
Washington University Experience | VASCULAR | Cavernous Angioma | 10D4 Cavernoma (Case 10)_048 - Copy
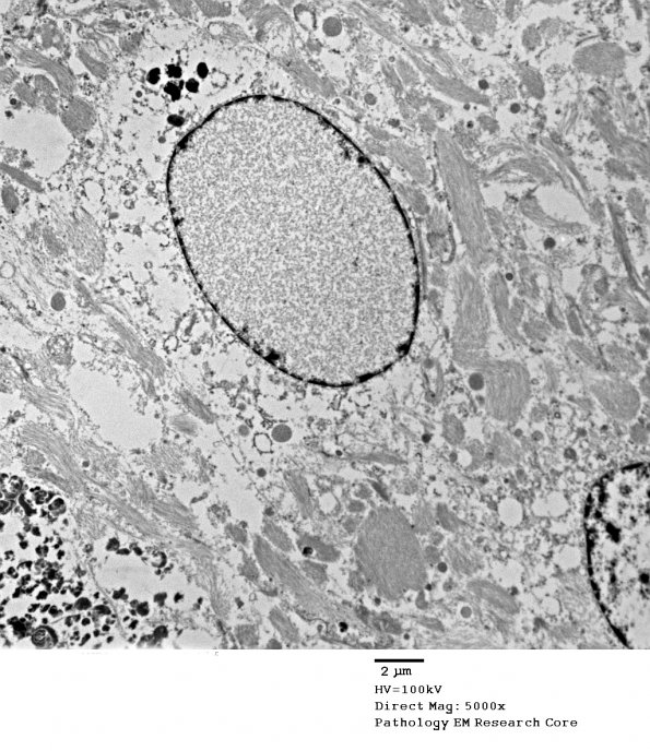
10D4,5 The intranuclear “inclusions” consist of an enlarged nucleus with homogenous granular nucleoplasm perhaps occurring as a reaction to a hypoxic environment (electron micrograph).
