Table of Contents
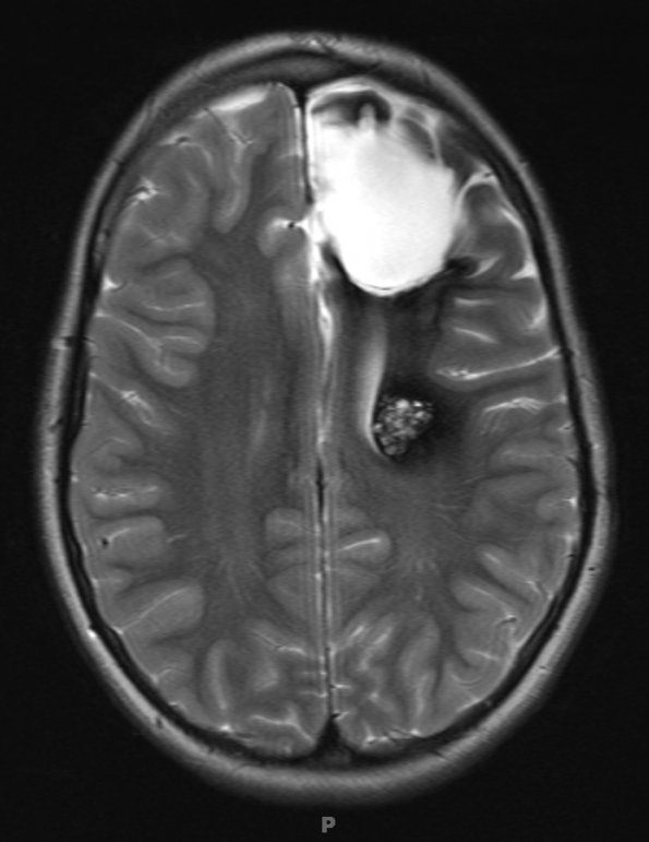
Washington University Experience | VASCULAR | Cavernous Angioma | 11A1 Cavernoma (Case 11) T2 no contrast - Copy
Case 11 History The patient is an eight year old boy with a left frontal cavernoma, one of several. ---- The MRI shown was obtained three years after a previous neurosurgical procedure to remove another CA which had hemorrhaged spontaneously. Operative procedure: Craniotomy for excision of left frontal lesion
