Table of Contents



Washington University Experience | VASCULAR | Cavernous Angioma | 18C2 Cavernous Angioma (Case 18) 9

18C2 Cavernous Angioma (Case 18) 9
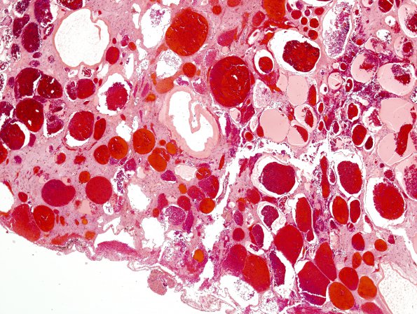
18C2,3 Higher magnification shows multiple channels separated in some areas by gliotic brain (H&E)


Gallery RSS RSS Feed | Archive View | Login | Powered by Zenphoto